8월 초, 미래연(난임병원)에 다닌지 2개월 차에 나팔관조영술을 했다고 말씀드렸었는데요,,! 이 후 여름휴가로 설악산에 가서 설악산의 정기도 받고 낙산사에 가서 기도도 하고 온 덕인지,,드디어 아기가 저희 부부에게 찾아와주었습니다,,! ㄲㅑ,ㅏ,,,

조은혜 원장님,, 감사합미다,,,,ㅠ,ㅠ,,,,,,,,,
나팔관조영술을 하면 조영제가 나팔관을 청소해주는 역할을 하면서 3개월 정도 임신확률을 높여준다던데 그 말이 맞았나봐요!ㅎㅎ 아니면 설악산의 정기가 도움이 됐을지,,! 임신 준비하고 계신 분들이라면 나팔관조영술과 저의 여름휴가 코스를 추천드립니다,,,ㅎㅎ(같은 달에 저와 같이 조영술을 하고 똑~같은 코스로 여름휴가를 다녀온 친한 언니도 같이 임신이 됐어요!!!,, 심지어 같은 미래연,, 조은혜 원장님,,,!!,,ㅎㅎㅎㅎㅎ)
* 미래연 여성의원 기본정보
위치: 서울 송파구 올림픽로35다길 42 루터회관 2층
진료시간: 월~금 07:30~19:30(13:00~14:00 휴게시간), 토 08:00~13:00
전화번호: 02-6012-2220
주차 : 건물 내 주차 가능

8월20일, 생리예정일 3일전에 첫 얼리테스트기를 했고 아주 선명한 두줄,,! 이였습니다,,, 임밍아웃 이벤트,,,는 무슨 바아로 남편 불러서 임테기 보여줬어요ㅠㅠㅋㅋㅋㅋㅋㅋㅋㅋㅋㅋㅋ둘이 얼싸안고 임테기 계속 확인했던 것 같아요!ㅎㅎ
그리고 병원엔 지금 가도 피검만 할 수 있다고해서 2주정도 꾸욱,,,,참고 9월4일(5주차 5일)에 미래연에 방문했습니다.

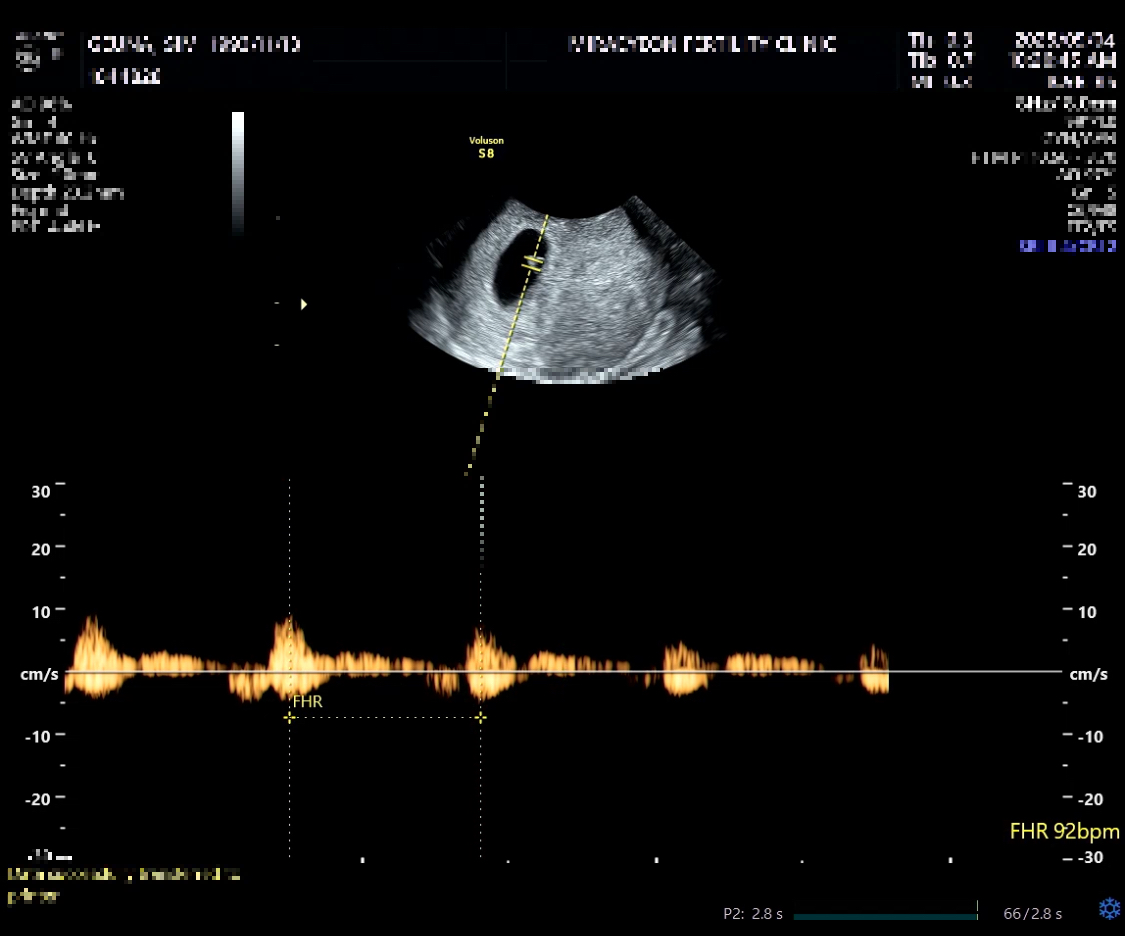
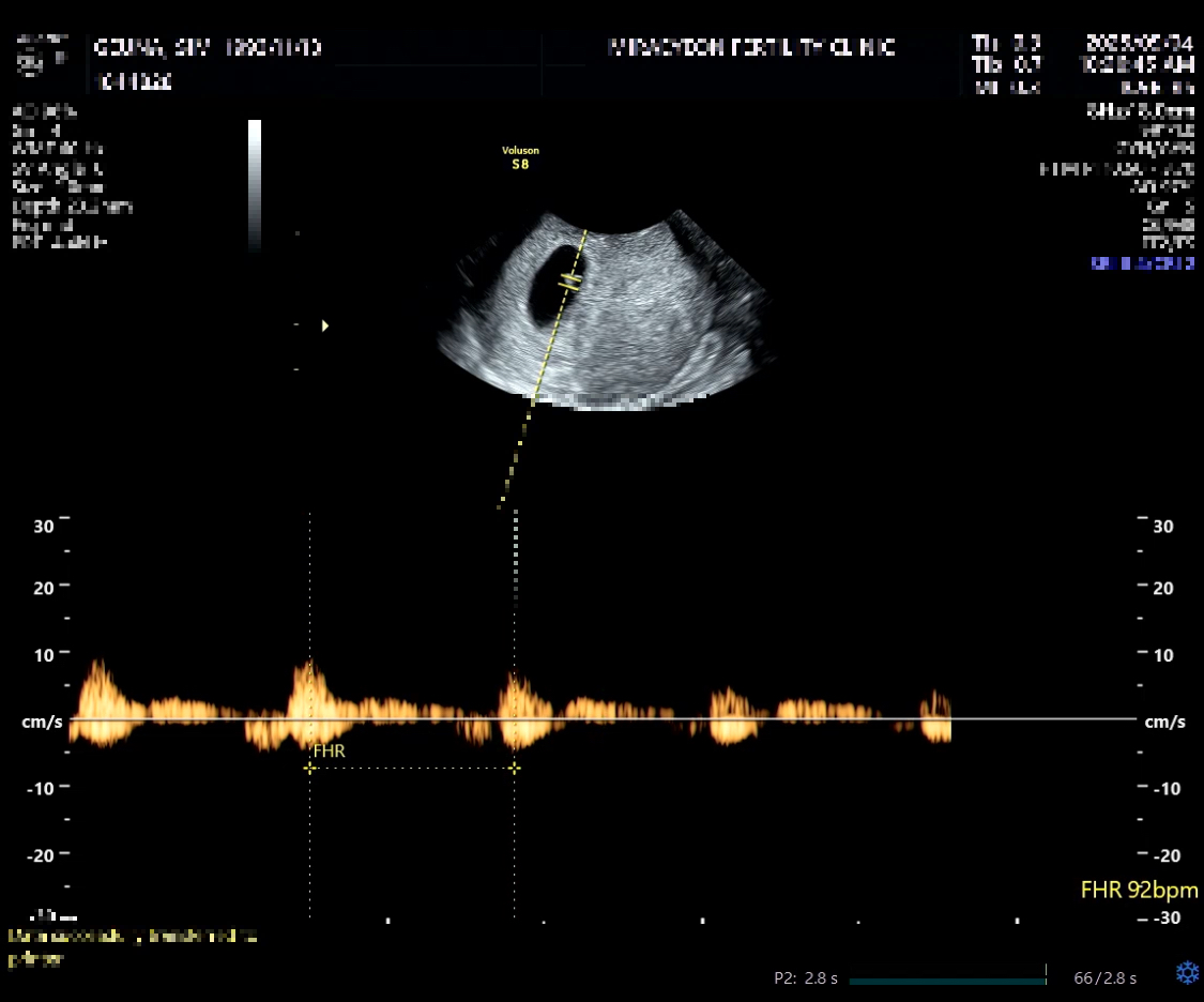
드디어 본 첫 초음파,,!!! 아기집, 아기, 난황, 심장소리까지 모두 보고 듣고왔어요!
남편이랑 함께 방문했는데, 검사하고 나오니 눈물흘리고 있는 남편 발견,,,,ㅋㅋㅋㅋㅋㅋㅋㅋㅋㅋㅋㅋㅋㅋㅋㅋㅋ
저도 초음파 보면서 조금 울컥,,! 할 뻔했으나 이미 오열중인 남편 덕에 눈물이 쏙 들어갔답니다ㅋㅋㅋㅋㅋㅋㅋㅋㅋㅋㅋ
선생님께서 모두 다 좋다고 하셔서,, 큰 걱정 없이 상담 마무리 하고 나왔어요.
이 날, 임신확인서와 산모수첩을 주셔서 바로 보건소로 향했습니다.
남양주 풍양보건소에 방문했고, 피검사와 소변검사(1,100원) 그리고 각종 지원정책 관련하여 안내받았어요! 담당자님 너무 친절하세요ㅎㅎ
임산부 등록도 완료했고, SRT 와 KTX 도 임산부 등록 완료했습니다.(회원번호 미리 알아가시면 되세요!)

풍양보건소에서 받은 선물들,,! 사실 다양하진 않았고ㅎㅎ, 엽산 2통, 임산부 뱃지, 차량용 임산부 스티커, 아기 접시 이렇게 주셨습니다. 철분제는 초기 지나서 받을 수 있다고 하더라구요!
국민행복카드 발급하는 부분도 병원과 보건소에서 안내해주셨는데, 이건 따로 알아보고 신청하려합니다ㅎㅎ
임신기간동안 아무일 없이, 무탈하게,,! 건강하고 튼튼한 예쁜 아기 출산하기를 기도하며,,! 오늘 포스팅은 마무리 하곘습니당

'임신 기록' 카테고리의 다른 글
| 임신기록 3: 국민행복카드 발급, 태아보험 가입! (0) | 2025.09.28 |
|---|---|
| 임신기록 2: 5주차 부터 시작된 먹덧, 토덧 채덧 환장의 콜라보 (3) | 2025.09.27 |
| 임신준비일기 5: 나팔관 조영초음파검사를 받았습니다. (0) | 2025.09.03 |
| 임신준비일기 4 : 난임병원에 가보았습니다. (2) | 2025.08.28 |
| 임신준비일기 3 : 배란테스트기를 사용해보았습니다. (1) | 2025.08.25 |